Atlante personale




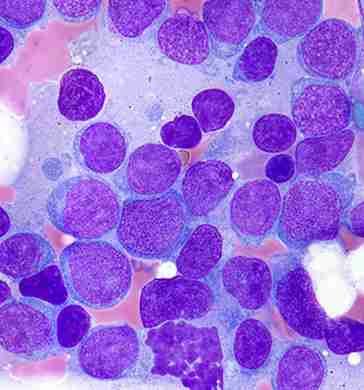
L M A - Fab M1